Orthodontie voor volwassenen
Het is nooit te laat om een mooi glimlach te hebben. Maar de meerwaarde van orthodontie is meer gaat verder dan enkel esthetiek. Slecht gepositioneerde tanden leiden tot slechte poetsbaarheid en hoger risico op gebitsproblemen. Daarom bestaat er in moderne tandheelkunde geen leeftijdsgrens voor orthodontie. Bovendien zijn er tegenwoordig discretere methodes voor het aligneren van tanden waardoor de drempel voor orthodontie voor volwassene lager is geworden.
Opties voor orthodontie bij volwassenen
De eerste optie is vaste apparatuur of blokjes (brackets). Het gebruiken van blokjes of brackets was jaren de enige manier geweest om de tanden te verplaatsen. Hierbij worden de blokjes (brackets) op tanden gelijmd. Er zit een gleufje in elke bracket waarin een reeds van draden komt. De combinatie van draad/blokje bepaalt de richting waarin de tanden bewegen. Gezien de blokjes 24u op 24u aan de tanden vastzitten, worden de orthodontische krachten constant uitgeoefend (zolang een draad actief is). Deze methode kan een heel hoge precisie bieden en dat blijft nog altijd een vrij voorspelbare methode in orthodontie. Niettemin kunnen de blokjes loskomen, als men hiermee niet voorzichtig omgaat. Dit kan leiden tot extra bezoeken en uiteraard een langere behandelingsduur. Bovendien kunnen de voedselrestjes zich opstapelen rond de blokjes, wat cariës en tandvleesproblemen kan veroorzaken en daarnaast zou dat geen mooi uitzicht zijn.

Klinisch voorbeeld :
Klassieke blokjes bij een volwassen patiënt. Er is wat tand slijtage te zien, voornamelijk ter hoogte van de ondersnijtanden. In overleg met zijn tandarts werd er besloten om eerst de positie van de tanden te corrigeren alvorens men begint met de andere dentale behandelingen.
De introductie van aligners rond de jaren 2000s heeft orthodontie gerevolutioneerd. Aligners zijn uitneembare transparante op maat gemaakte beugels die als een vrijwel onzichtbare hoes op tanden zitten. De patiënt krijgt een set van aligners waarbij elke aligner de tanden in een specifieke richting beweegt. Elke aligner moet ongeveer 7 à 14 dagen gedragen worden. Aangezien de bugels transparant zijn, kan de orthodontische behandeling vrijwel onopvallend verricht worden. Dit op zich is goed nieuws voor veel volwassenen die jarenlang rechte tanden wensten, maar ze wilden geen traditionele beugels dragen. Daarnaast is de poetsbaarheid aanzienlijk makkelijker met aligners, die kunnen gewoon verwijderd worden bij het poetsen.

Het is wel belangrijk om aligners bij de juiste casussen te gebruiken, omdat niet elke beweging snel gerealiseerd kan worden met aligners. Daarnaast is de medewerking van de patiënt doorslaggevend voor het bekomen van de gewenste resultaten. Met name dienen de aligners liefst 22 uren per dag gedragen te worden. Mits de juiste indicatiestelling en goede coöperatie, kan men mooie resultaten halen met aligners.
Orthodontie voor volwassenen
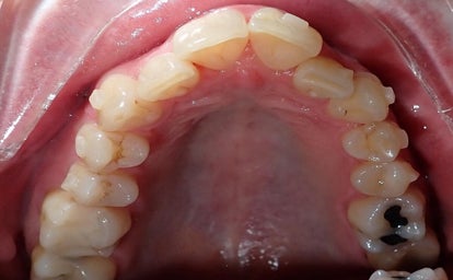
Klinisch voorbeeld :
Bij deze heer gebeurt het hele orthodontische traject met aligners. De blauwe pijl toont de aligner die op de tanden zit. Stilaan zijn de tanden aan het bewegen in de juiste richting.
Kan iedereen orthodontie ondergaan ?
Er zijn 2 voorwaarden waaraan men moet voldoen voordat de tandarts groen licht zou geven voor orthodontie.
1) Gezonde tanden : Uw gebit moet cariësvrij zijn. Als er sprake is van enige andere dentale infecties zoals ontzenuwingen die herhaald moeten worden, moeten die eerst aangepakt worden. In principe zou dit aspect al in orde zijn, als u regelmatig op controle gaat bij uw tandarts.
2) Gezond tandvlees : Kaakbot en tandvlees zijn de weefsels die onze tanden ondersteunen. Bij tandvleesinfectie (parodontitis), gaan deze weefsels onomkeerbaar achteruit waardoor een (soms) gave tand met de tijd loskomt. In tegenstelling tot dentale problemen, zijn deze ontstekingen vaak pijnloos waardoor de patiënt zelden er subjectieve klachten van heeft (U vindt meer info op het pagina Parodontologie). Vanzelfsprekend is het bewegen van de tanden door ontstoken weefsels gevaarlijk. Bij ons gaat dat nogmaals streng gecontroleerd worden. Indien deze weefsels ook gezond blijken te zijn, bent u helemaal klaar voor orthodontie.